Davies Veterinary Specialists Installs State-of-the-art ESAOTE Ultrasound Machines
13 years ago
3404 views
Posted
19th February, 2013 10h25
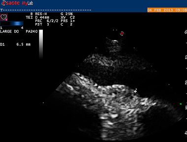
Small 6mm suspicious area at the level of the junction between the right atrium and right ventricle
Davies Veterinary Specialists (DVS), the private small animal referral centre based in Hertfordshire, has installed two new, state-of-the-art, ESAOTE ultrasound machines provided by the Cambridgeshire based company Imotek International Ltd. This makes DVS one of only two veterinary centres in the UK to own sophisticated equipment of this type.
The MyLab Twice Vet and the MyLab Class C Vet provide fast, efficient and highly accurate imaging in a wide range of applications, including high-definition abdominal, cardiac, musculoskeletal and ophthalmic scans.
The MyLab Twice Vet, with its range of probes including the broadband 18MHz linear probe, will be used for general ultrasonographic imaging at DVS. It is capable of the most refined contrast media examinations that, for example, can help to locate and identify a liver tumour that may be rendered invisible when using conventional diagnostic procedures.
The compact and adaptable MyLab Class C will be used predominantly for advanced cardiac work at DVS, including trans-oesophageal echocardiography for interventional procedures in theatre.
Pedro Oliveira, European Veterinary Specialist in Cardiology at DVS explains: “The trans-oesophageal probe is currently a very rare piece of equipment in veterinary diagnostics. It gives us the capacity to obtain unique views of the heart, especially the heart base which can be a very difficult area to examine with regular echocardiography. It also allows real-time and direct monitoring of procedures, such as deployment of devices to occlude patent ductus arteriosus, surgery and anaesthesia in critical patients.”
The first patient to benefit from the new My Lab Class C was an 11-year-old, female German shepherd dog with suspected cardiac neoplasia following several episodes of haemorrhage into the pericardium. A normal echocardiographic examination identified a small suspect area but it was in a part of the heart that was very difficult to approach surgically.
However, a trans-oesophageal examination revealed that another small mass close to the tip of the right auricle was actually the origin of the bleeding. The dog underwent surgery to remove the mass and subsequently made a full recovery. Without the My Lab Class C there would have been no viable options for this dog.
Clive Elwood, Managing Director at DVS, said: “Combining the best possible on-site diagnostic equipment with some of Europe’s finest clinicians enables us to provide the best possible service and outcome for our patients, across multiple disciplines.” More from
- Animus launches SkinBond Multi for enhanced wound care
- IVC Evidensia reports 82% cut in Farm antibiotic use and 20% carbon emissions reduction
- Vet professionals flock to sign up to transformative locum platform
- The ProSalus Foundation launches urgent appeal for UK vets to support Ukrainian colleagues
- Vetsure Named Business of the Year at 2025 SME National Business Awards
