Scan image
Dovecote Veterinary Hospital’s Multidisciplinary Approach Helps Dog With Myasthenia Gravis, Cranial Mediastinal Mass, And Hepatic Mass Achieve Rare Immune Remission
Patient’s treatment comprised acetylcholinesterase therapy, alongside surgical resection of the thoracic and hepatic masses
Trevor, a nine year old male neutered old cockapoo, presented to CVS’ Dovecote Veterinary Hospital three years ago with severe exercise induced generalised weakness. He would weaken within 30 seconds of walking to the point of collapsing on the floor.
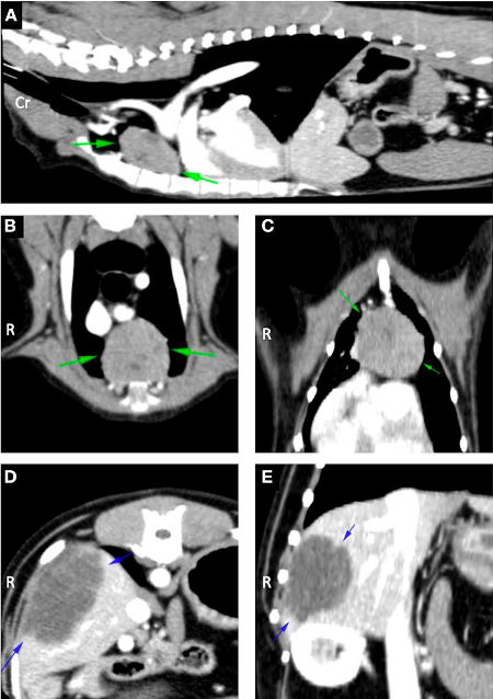
Investigations revealed myasthenia gravis, a severe immune mediate disease that interferes with neurotransmission necessary for muscle contraction and strength. Trevor was also found to have a cranial mediastinal mass which is concurrently reported in approximately 3.4-11% of dogs with this condition, as well as a hepatic mass.
Trevor’s weakness was addressed in the first instance by the neurology team with pyridostigmine bromide, an anticholinesterase medication that improves neurotransmission thereby alleviating the muscle weakness and fatigability. Once his condition had stabilised, the soft tissue surgery team was successfully able to surgically resect both masses.
Trevor then regularly presented back to Dovecote Veterinary Hospital for follow-up appointments over the following two years and was eventually successfully weaned off of all medications. He subsequently achieved immune remission for the disease which has only been reported in limited cases worldwide.
Three years on and Trevor is still doing well, regularly going for long walks in the Lake District. His owners recently quoted: “You wouldn’t know there ever was anything wrong with him!”
Thomas Mignan, RCVS & EBVS® European Specialist in Veterinary Neurology at Dovecote Veterinary Hospital said: “Overseeing Trevor’s recovery has been particularly rewarding given the guarded prognosis associated with the disease. Seeing patients regain their quality of life is one of the most satisfying aspects of our work.”
The full case has recently been published as a case report in the journal Frontiers of Veterinary Science, neurology/neurosurgery, 17 March 2023 https://doi.org/10.3389/fvets.2023.1124702.
CVS Group operates across small animal, farm animal, equine, laboratories and crematoria, with over 500 veterinary practices, referral centres and sites in the UK, the Republic of Ireland and the Netherlands. In the last five years the company has invested nearly £80 million in its sites, facilities and equipment, in addition to industry leading training and support, to give the best possible care to animals.
More from CVS UK Ltd
- Chester dog saved in dramatic peach stone operation at local animal hospital
- From limping to leaping: Manchester animal hospital transforms Barney’s life
- CVS opens new South West training centre to expand clinical development for the veterinary profession
- Vet Team 360 launches: A new all in one CPD subscription transforming training for the entire veterinary practice team
- CVS launches pioneering Nurse Optimisation PhD to advance the future of veterinary nursing
3 years ago
1546 views

1 hour ago