Dog's Liver Shunts Treated By Specialist Surgery At Kentdale Referrals
Minimally invasive surgery performed at one of the UK’s leading small animal hospitals has transformed the life of a beloved pet dog suffering from a potentially fatal liver condition.
Harry, a three-year-old male Jackawawa, was referred to Linnaeus-owned Kentdale Referrals, in Milnthorpe, Cumbria, with a history of chronic diarrhoea and vomiting. His faeces had a black colour, and his abdomen was enlarged with fluid building up inside (ascites).
Jan Beranek, an EBVS European Specialist in Small Animal Surgery at Kentdale, attended Harry’s case. According to his opinion, blood tests showed low cholesterol and urea and, most importantly, test results for liver function were highly elevated (bile acid stimulation test, 300 µmol/L after a meal, normal up to 25 µmol/L). History, clinical signs, and blood results were highly suggestive of liver disease with a high suspicion of a liver shunt.
A shunt is a small passage which allows blood movement from one part of the body to another, with a liver shunt being an abnormal blood vessel bypassing the liver, which moves blood from the abdominal organs (small and large bowel and stomach) straight to the heart. Multiple liver shunts can develop secondary to chronic liver disease, such as cirrhosis.
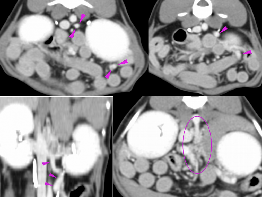
Jan advised the owner to consider a CT scan/angiography (enhanced by intravenous contrast dye) which is a gold standard imaging modality to diagnose a liver shunt. Harry underwent general anaesthesia and the CT scan was performed with a final diagnosis of acquired multiple liver shunts.
Finding multiple liver shunts strongly suggested a primary liver disease which increases pressure in abdominal blood vessels and is directly responsible for the opening of small connecting shunts to the caudal vena cava. A direct organ biopsy is a reliable way to investigate liver disease and provide the final diagnosis
Jan carried out intricate, minimally invasive laparoscopic surgery (keyhole surgery) on Harry to take a liver biopsy. Laparoscopic surgery allows a shorter recovery period compared to open abdominal surgery.
The laboratory results revealed portal venous hypoplasia with portal arteriolar and biliary hyperplasia. This is an inborn condition commonly affecting toy breeds of dogs. Recognising primary liver condition from biopsy results helped to set up accurate dietary management for Harry.
Happily, Harry recovered uneventfully and has been doing well back with his owners and is being managed on liver-sparing diet.
Kentdale Referrals is a specialist-led practice offering expert services in diagnostic imaging, arthroscopy, laparoscopy, anaesthesia, infection control, orthopaedic surgery, spinal surgery, soft tissue surgery and physiotherapy.
For more information on Kentdale Referrals, visit www.kentdalevets.co.uk or search for Kentdale Referrals on social media.
More from Linnaeus Group
- Mars Veterinary Health publishes 2025 Science Impact Report highlighting global advances in pet health
- AMVS specialist gets to heart of puppy's problem
- Garston Veterinary Group team earn BVRA recognition
- Chihuahua Lola loving life after 'challenging' spinal surgery
- Vets save therapy cat's life following road accident
5 years ago
2386 views
3 days ago 