LVS Ensure Lucky Escape After Nutella Spreads Fear With Sock-eating Spree
It didn’t take specialist vets at a London animal hospital long to cotton on to the cause of a serious blockage in the intestines of a French bulldog.
Indeed, the experts at Linnaeus-owned London Veterinary Specialists (LVS), in Belsize Park, soon had the case sewn up after discovering their patient had been snacking on a pair of socks!
Dr Janet McClaran, a soft tissue specialist and head of surgery at LVS, made the shock sock discovery during an emergency operation to remove a dangerous obstruction from bulldog Nutella.
It seems naughty Nutella had gone scavenging for food and ended up eating the footwear when her owners weren’t looking, leaving them footing the bill for the intricate and complex surgery.
Dr McClaran explained: “Nutella was referred to us at LVS because she had stopped eating, was vomiting regularly, losing weight and was dehydrated.
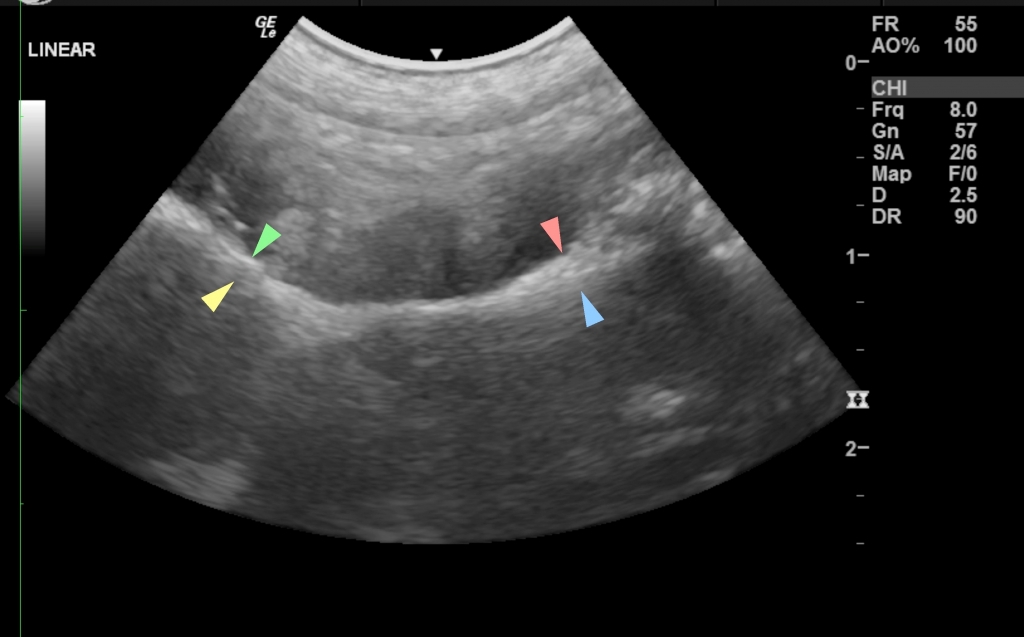
“We immediately carried out blood tests, began intravenous fluid administration and our diagnostic imaging specialist Dr Ian Jones performed an abdominal ultrasound, which confirmed the presence of a gastric and intestinal linear foreign body.
“Surgery was required as this type of blockage can produce a unique form of intestinal obstruction because they anchor themselves around the base of the tongue or at the pylorus (narrowed end of stomach).
“Then peristaltic waves (contractions of the intestine) help carry the remainder of the material through the intestines which progressively gather into accordion-like pleats along the object.
“If left untreated, the intestine could develop perforations or tears, which can become an extremely dangerous situation.”
Dr McClaran and LVS surgical intern Dr Beatrice Hertel, carried out the emergency surgery and discovered the socks were lodged partially in the stomach but had also extended into Nutella’s small intestines.
Two intestinal perforations (full thickness holes in her intestines) were also identified, making surgery even more challenging and complicated.
Nutella’s perforations were located in an inconvenient part of her small intestine, in close proximity with the pancreas and vital blood vessels, so the risk of complications following surgery were high.
Dr McClaran said: “Thankfully, all of the material she’d eaten could be removed via a gastrotomy (incision into the stomach) and we were able to repair the perforations without having to remove any of her intestinal tract.
“Nutella was then hospitalised for two days because after such a complex intestinal surgery there can be many risks and complications, such as suture breakdown or peritonitis (leakage from the sutured stomach and intestines).
“For that reason, close monitoring and early nutritional support are essential to help the gastrointestinal tract come back to its normal activity and heal properly.”
After 48 hours, Nutella was eating on her own and comfortable. Luckily, her intestine healed very well and she was able to go home within few days to her relieved owners.
The LVS hospital is a multi-disciplinary referral facility which offers expert care in anaesthesia and analgesia, critical care, cardiology, dermatology, diagnostic imaging, internal medicine, neurology, oncology, ophthalmology and surgery.
For more information about LVS, which is part of Linnaeus, visit londonvetspecialists.vet.
More from Linnaeus Group
- Mars Veterinary Health publishes 2025 Science Impact Report highlighting global advances in pet health
- AMVS specialist gets to heart of puppy's problem
- Garston Veterinary Group team earn BVRA recognition
- Chihuahua Lola loving life after 'challenging' spinal surgery
- Vets save therapy cat's life following road accident
5 years ago
1210 views
7 days ago 