Ct scan revelas ball bearing in frontal signus
Mabel Makes A Remarkable Recovery After Close Encounter With A Ball Bearing
Vale Referrals, a multidisciplinary referral centre in the South West which is part of the IVC Evidensia Referral Network, recently saved the life of beautiful cat Mable after presenting with a ball bearing lodged millimetres away from her brain.
This distressing emergency early in the lockdown showed it is always possible to provide exceptional care, even in times of crisis.
Mable presented to Vale Referrals one week into lockdown when team at Vale Referrals were still adapting to new ways of working with social distancing, small team working and managing the teams’ worries and anxieties around COVID-19.
Richard Artingstall, Clinical Director of Vale Referrals said 'Mabel had been being missing for 24 hours and presented to her first opinion vet with a small wound between her eyes and bilateral bloody nasal discharge, the team here at Vale Referrals was then contacted to discuss their x-ray findings.’
‘The referring vet performed a sedation and a series of skull x-rays which to their horror revealed a radio-opaque object within the skull – consistent with a ball bearing.’
Mable is a beautiful cat that is extremely gentle and friendly and her owner feared that this was perhaps her downfall in this case, having potentially unwittingly allowed the sling shot shooter to get close enough to inflict this injury.
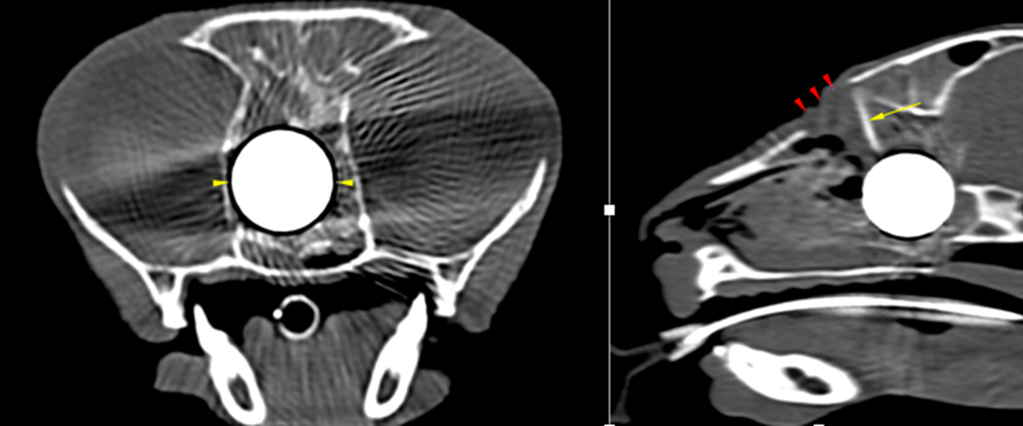
A CT of the skull was performed at Vale Referrals which confirmed the suspicion of a metallic foreign body of the ethmoidal region consistent with a ball-bearing.
The CT also picked up other multiple injuries to the skull and cranium – a large defect within the dorsal maxillary bone consistent with a ballistic entry point, multiple fractures of the skull (bilateral fractures of the medial orbital wall, comminuted fractures of the presphenoidal bone with resultant stenosis of the choanae and rostral nasopharynx)
Perhaps most concerning was that the CT confirmed that the entry of the ball bearing had resulted in fractures the calvarium – the bony casing of the brain and fractures the cribriform plate (a delicate wall of bone in front of the brain) and the ball bearing was sitting millimetres away from the brain itself. Which could have resulted in catastrophic brain injury.
Richard continued, ‘After much discussion it was felt that surgery should be performed to remove the foreign body as the potential for infection and extension into the brain was significant if left in place’.
After a three-hour delicate surgery and complex anaesthetic, the surgical team at Vale Referral successfully removed the ball bearing. Surgery involved enlarging the entry point and carefully debriding and removing the internal bone fragments. The ball bearing was then visualised and gently elevated from within the skull before lavage and closure.
Richard, said ‘We are pleased to say that Mable has made a full and remarkable recovery and was discharged 48hours after her operation and her owners are delighted to have her home.
This was an extremely challenging and distressing case for us all at Vale Referrals at a time of extreme pressure. It is a real testament, that in the middle of a national lockdown every member of our team were able to give the exceptional care and support that Mabel and her owners needed.’
Vale Referrals continues to be open for business taking referrals across their disciplines (www.valereferrals.co.uk), via telemedicine, email, phone and physical referrals
More from IVC Evidensia UK & IE
- IVC Evidensia expands White Cross Vets network with two new state-of-the-art practices
- Vet Sustain and IVC Evidensia unveil ‘Sustainable Veterinary Practice of the Future’ at London Vet Show 2025
- Vets urge farmers to prioritise bluetongue vaccination: as IVC Evidensia leads national efforts
- IVC Evidensia becomes first UK veterinary employer to achieve Top Employer certification
- IVC Evidensia launches global Parasite Strategy Working Group to lead profession-wide change
6 years ago
1674 views
