West Midlands Referrals Save Life Of Cancer-stricken Collie
A dog owner’s devastation has turned to elation thanks to the expert skills of a senior vet at a leading West Midlands referral centre.
Julie Hicklin, from Cannock, in Staffordshire, was understandably distressed to learn her six-year-old border collie Lucy had a life-threatening tumour of the pancreas.
Now, she’s absolutely delighted after Jon Mills, small animal surgeon at Linnaeus-owned West Midlands Referrals, near Burton on Trent, successfully operated to remove the tumour and transform Lucy’s life.
Following the intricate operation to remove the tumour, Jon said he was pleased with Lucy’s remarkable recovery: “Lucy came to us suffering from Insulinoma, a potentially malignant tumour which could spread to the lymph nodes, liver, mesentery and omentum.
“Insulinomas produce insulin and too much insulin leads to low glucose levels, meaning there’s not enough for organs like the brain which depend on it.
“The consequence is weakness, collapse, coma and even death, which explained Lucy’s recent history of seizures and fits.
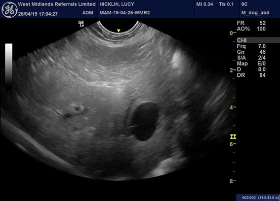
“An ultrasound scan identified the mass was approximately 1.5cm in diameter and in the right limb of the pancreas so we operated and carefully dissected the tumour.
“The associated part of the pancreas was also removed to avoid the risk of leaving an area of pancreas still producing enzymes but with no effective drainage into the intestines.
“Lucy responded really well after the operation and she’s still doing well now, although she’s subsequently developed diabetes which Julie controls with insulin injections.”
Lucy’s owner Julie said the change in her pet had been remarkable, explaining: “She had always been a very energetic border collie with endless energy, especially when there was a ball!
“Then we began to notice her starting to phase out and stagger, and even fall over at times. She also had a fit one morning so it was a very scary time for all the family.
“We took her to our local vets who told us her glucose levels were dangerously low and suggested this could be a problem with her pancreas.
“They recommended we take Lucy to West Midlands Referrals, where a scan confirmed there was an insulinoma, a cancerous tumour of the pancreas.
“We were devastated, as you presume there is not much that can be done, but John was confident that he could successfully remove the tumour so we were reassured that we had the chance to give her at least some at normality back.
“We were still very concerned and worried, though, as any surgery carries risks and you also fear that things may be worse than originally thought but we are extremely pleased with the results as the effect was immediate.
“Lucy recovered very well and was soon back to her normal, energetic self.”
The Staffordshire veterinary centre provides an affordable referral service in orthopaedic surgery, spinal surgery, soft tissue and general surgery and medical and ultrasonography cases.
For more information on West Midlands Veterinary Referrals visit www.wm-referrals.com or search for West Midlands Veterinary Referrals on social media.
More from Linnaeus Group
- Mars Veterinary Health publishes 2025 Science Impact Report highlighting global advances in pet health
- AMVS specialist gets to heart of puppy's problem
- Garston Veterinary Group team earn BVRA recognition
- Chihuahua Lola loving life after 'challenging' spinal surgery
- Vets save therapy cat's life following road accident
5 years ago
1872 views

7 days ago