LVS Specialist Team Praised For Emergency Surgery
Specialists at a leading London animal hospital have been praised for refusing to allow lockdown to halt their expert, emergency treatment of pets.
Staff at London Vet Specialists (LVS), in Belsize Park, reacted instantly to deal with the case of Katmandhu, a three-year-old Burmilla cat, which was constantly vomiting and retching.
A catastrophe was averted when LVS staff, many of whom were working remotely, swung into action and uncovered that Katmandhu had swallowed a string of shoelaces which had become stuck in his stomach and intestines!
Dr Janet Kovak McClaran, who is head of surgery at LVS, which is part of Linnaeus, led Kathmandhu’s treatment and has revealed the full dramatic story of the day.
She said: “Half of our team are working remotely to allow for social distancing at the hospital during COVID-19 restrictions.
“But not even a pandemic will stop us providing emergency care and this is a perfect example of that.
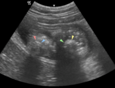
“When Kathmandhu arrived, the staff immediately called in our specialist in diagnostic imaging Dr Ian Jones - who was working remotely that morning - and he cycled into the hospital to perform an abdominal ultrasound scan which revealed the blockage.
“I was then called in, along with Dr David Neilson, specialist in anaesthesia and analgesia, and Dr Maite Pardo our surgical intern, to perform a gastrotomy - a small incision in the stomach - to remove the foreign material, in this case elastic shoelaces.
“Eating shoelaces, string or yarn is actually a very common thing for kittens and young cats to do but it is very fortunate that Katmandhu’s owner brought him to our hospital when he did, as, left untreated this type of blockage of the intestinal tract could be very dangerous.”
Owner Huse Monfaradi admits he was very fearful, saying: “Kathmandhu was vomiting every half-an-hour for a few hours, as well as drinking a lot of water, then hiding.
“We realised there was something serious going on and went to LVS, who gave him a thorough round of tests to discover the blockage and told us that surgery was required.
“Our first reaction was guilt, thinking that maybe we had left something lying around.”
But the talented film director, who has worked with the Arctic Monkeys, Louis Tomlinson and Michael
Kiwanuka, admits he was stunned when the operation spotlighted the cause of the problem.
He added: “When we were shown the size of the bundle of laces, we were really shocked.
“It was A LOT of string shoelaces but none we recognised as our own, so more than likely something he had consumed while out and about.
“The surgeon wasn’t able to give a time-frame as to when they had been consumed but said they could have been in his system for two weeks!”
Kathmandhu has since made a full recovery and Huse is full of praise for the LVS team which helped save the day, despite the difficulties presented by the current Coronavirus pandemic. Vets across the country are to see pets only for emergency and urgent cases, with many working remotely.
Huse, who lives in Kensal Rise, in the capital, said: “It was a really emotional experience for both myself and my girlfriend and it was a huge relief to see Kathmandhu recover so well.
“The surgery scar is incredibly neat. His hair is growing back and he’s returned to his normal self again.
“Honestly, I couldn’t have asked for a better experience from the staff and surgeon.
“They were incredibly kind and considerate, kept us up to date with his condition at all times and they’ve continued to be supportive since he’s come home.”
The LVS hospital is a multi-disciplinary referral facility which offers expert care in anaesthesia and analgesia, critical care, cardiology, dermatology, diagnostic imaging, internal medicine, neurology, oncology, ophthalmology and surgery.
For more information about LVS, visit www.londonvetspecialists.vet.
More from Linnaeus Group
- Mars Veterinary Health publishes 2025 Science Impact Report highlighting global advances in pet health
- AMVS specialist gets to heart of puppy's problem
- Garston Veterinary Group team earn BVRA recognition
- Chihuahua Lola loving life after 'challenging' spinal surgery
- Vets save therapy cat's life following road accident
6 years ago
2084 views
