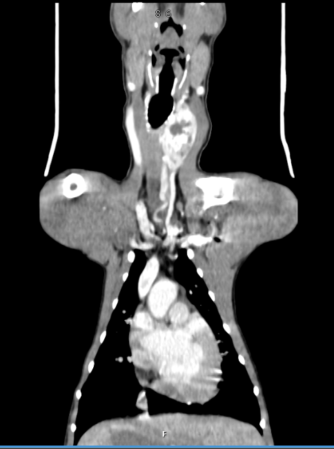
A CT scan showing the tumour on little Lenny's neck
Golf Ball Sized Tumour Removed From Neck Of Tiny Dog By LVS
A veterinary specialist at one of London’s leading animal hospitals has successfully removed a golf ball-sized tumour from a tiny dog’s neck.
Dr Janet McClaran, head of surgery at Linnaeus-owned London Vet Specialists in Belsize Park, successfully carried out the operation on a miniature Schnauzer called Lenny.
Dr McClaran, a US and European specialist in soft tissue surgery, admitted it was a challenging case so was delighted with such a positive outcome.
She said: “Lenny had always been a very active, energetic dog but recently had started showing signs of being off colour, with a diminished appetite.
“We confirmed the presence of a large growth just under little Lenny’s chin, in the region of his thyroid gland.
“The next step was to explore if the growth was operable so our specialist diagnostic imaging service performed an advanced CT scan to establish whether surgery could be performed.
“LVS is one of only a handful of specialist centres to have this advanced imaging option in central London and it was very important in this case.
“Surgery in the neck region can be dangerous and requires delicate and meticulous care as it has lots of large blood vessels, along with important nerves, such as the ones controlling the breathing system.
“The CT images pinpointed the large growth within the left thyroid gland in Lenny’s neck and we were confident we could operate successfully and significantly increase the length and quality of his life.”
Accurate and delicate planning was crucial for Lenny’s intricate surgery, so Dr McClaran was assisted in theatre by LVS surgical intern Dr Fabio Esposito.
“Everything went well. Lenny was a super brave patient and made it through the operation with flying colours,” added Dr McClaran.
“He recovered very rapidly and was able to return home after two days of post-operative care with the hospital’s expert nursing team.
“We’re continuing to monitor his progress and recovery and are so pleased he’s back to his happy self with that big ‘pain in the neck’ now removed.”
The LVS hospital is a multidisciplinary referral facility which offers expert care in anaesthesia and analgesia, critical care, cardiology, dermatology, diagnostic imaging, internal medicine, neurology, oncology, ophthalmology and surgery.
For more information about London Vet Specialists, and the services it offers, visit https://londonvetspecialists.vet/.
More from Linnaeus Group
- Mars Veterinary Health publishes 2025 Science Impact Report highlighting global advances in pet health
- AMVS specialist gets to heart of puppy's problem
- Garston Veterinary Group team earn BVRA recognition
- Chihuahua Lola loving life after 'challenging' spinal surgery
- Vets save therapy cat's life following road accident
4 years ago
1474 views

9 hours ago