Two-year-old Tygg has astounded everybody and made a complete recovery from a serious road traffic accident following surgery at Davies Veterinary Specialists in Hitchin.
Young Cat's Miraculous Recovery From Road Traffic Accident Astounds Vets
A young cat severely injured in a road traffic accident has amazed vets with his determination to make a full recovery from multiple severe injuries affecting both his legs.
Without several orthopaedic surgeries at Linnaeus-owned Davies Veterinary Specialists in Hitchin, Tygg faced the possibility of being put to sleep.
Amazingly, given the grave situation he was in, two-year-old Tygg has astounded all who know him and eight months later he is back on all four paws and walking as if nothing had happened to him.
Alberto Sesana, resident in surgery at Davies who performed Tygg’s successful surgery, said:
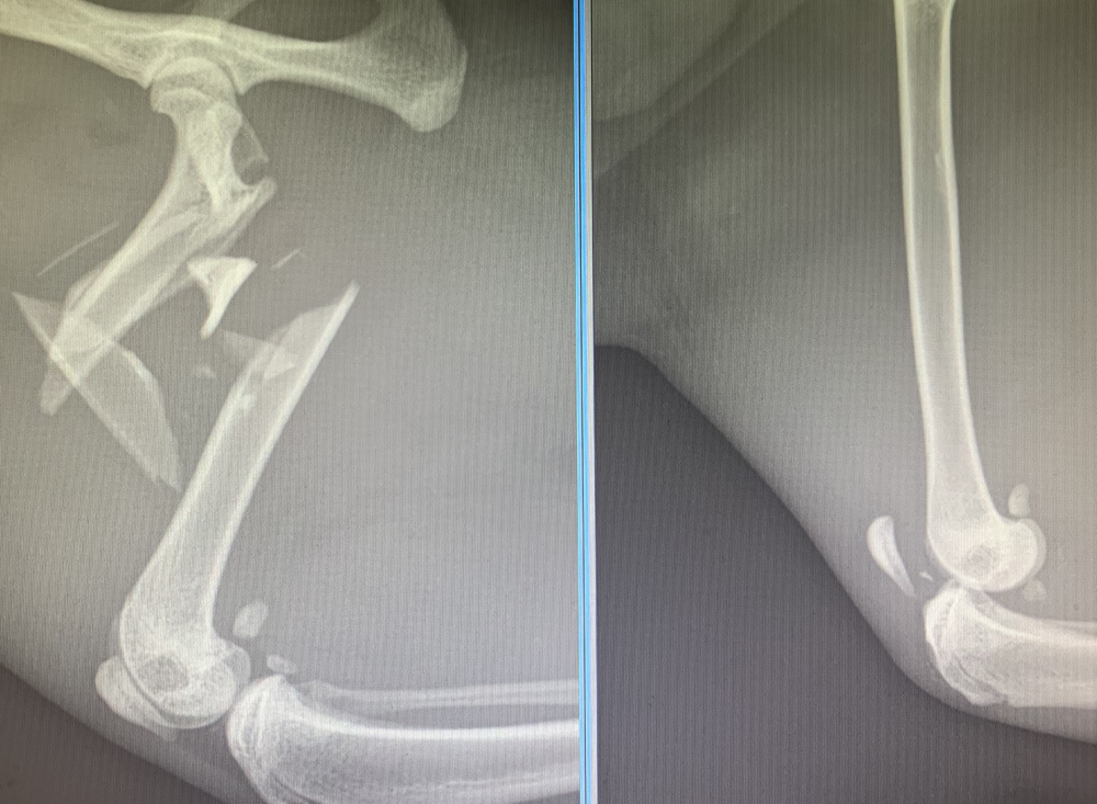
“Tygg’s injuries were extensive and affected both sides. The femur (thighbone) was shattered into many pieces and very close to his hip. His left leg was no better; all the ligaments of his left knee had to be reconstructed.
“Tygg is a lovely cat but really was in a poorly condition and without surgery, or if there were any complications, he would have faced being put to sleep.
“Given that, it’s incredible he’s now back walking again, apparently without a care in the world!”
When Tygg first arrived at Davies, X-rays confirmed the gravity of the situation and it was clear the intricate surgeries would require great skill and greater teamwork.
Alberto added: “The operations were very challenging due to the number, severity and location of the injuries. There was not much bone available to fix his femur. An external fixator (external frame) was placed to hold the small main fragments stable while his body was healing.
“Tygg has been a real champion. A very long recovery time was needed and he has been a model patient. The time and team effort were well worth it and Tygg, not least due to the helpfulness and understanding of his owner, has had an excellent recovery.”
For more information about Davies and the wide range of specialist-led services it offers, visit https://vetspecialists.co.uk/ or search for them on Facebook or LinkedIn.
More from Linnaeus Group
- Mars Veterinary Health publishes 2025 Science Impact Report highlighting global advances in pet health
- AMVS specialist gets to heart of puppy's problem
- Garston Veterinary Group team earn BVRA recognition
- Chihuahua Lola loving life after 'challenging' spinal surgery
- Vets save therapy cat's life following road accident
2 years ago
1790 views
